IMAGENS TOMOGRÁFICAS DA LAM E DE OUTRAS DOENÇAS PULMONARES CÍSTICAS
A linfangioleiomiomatose (LAM) é uma doença pulmonar cística, assim como a histiocitose de células de Langerhans, a pneumonia intersticial linfocítica e a síndrome de Birt-Hogg-Dubé
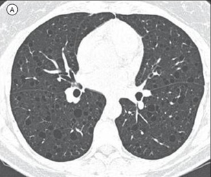
A imagem tomográfica mais frequentemente associada à linfangioleiomiomatose é a seguinte:

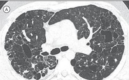
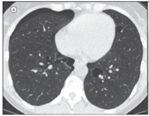
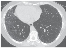
As imagens abaixo estão relacionadas a outras doenças pulmonares císticas.



Mas, lembre-se: o diagnóstico de LAM não se dá apenas por imagem!
Outros achados que podem ajudar a estabelecer um diagnóstico definitivo de LAM incluem:
. Angiomiolipomas renais
. Manifestações linfáticas, como derrame pleural quiloso ou ascite quilosa e linfangioleiomiomas
. Diagnóstico subjacente de esclerose tuberosa
Se o diagnóstico até aqui foi inconclusivo, existem mais duas possibilidades para sua confirmação:
. Exame sanguíneo VEGF-D (Fator de Crescimento Endotelial Vascular D)
. Biópsia pulmonar transbrônquica ou cirúrgica


