Ir para o conteúdo
A Alambra
Estatuto social
Direções e conselhos
Advocacy
Fotos
Vídeos
Paciente
Primeiros passos após o diagnóstico da LAM
Perguntas frequentes
Locais e pneumologistas indicados para tratamento da LAM
Glossário da LAM
Depoimentos
Bula do rapamune/sirolimo
Onde fazer o VEGF-D
Cordão para doenças raras
Carteira de emergência
Pneumologista
Recomendações da Sociedade Brasileira de Pneumologia e Tisiologia (SBPT) para a abordagem da LAM
Protocolo para abordagem da linfangioleiomiomatose
8 regras de ouro
Relatório de recomendação do uso do sirolimo em linfangioleiomiomatose – CONITEC
Teleinterconsulta médica sobre LAM para pneumologistas com médicos do HC-SP
Informações gerais e infográfico sobre diagnóstico e tratamento
Imagens tomográficas da LAM e de outras doenças císticas
Imagens associadas à LAM e à esclerose tuberosa
Atestados médicos
CID da LAM
Artigos
Requisição de sirolimo
Bula do rapamune/sirolimo
Onde fazer o VEGF-D
Direitos
Tratamento fora do domicílio
Redução da carga horária de trabalho
Aposentadoria, FGTS IR e BPC
Adicional 25%
Isenção de IPI para compra de carro novo e pagamento de IPVA
Sobre a CIF
Uso de O² a bordo de aeronaves
A Alambra
Estatuto social
Direções e conselhos
Advocacy
Fotos
Vídeos
Paciente
Primeiros passos após o diagnóstico da LAM
Perguntas frequentes
Locais e pneumologistas indicados para tratamento da LAM
Glossário da LAM
Depoimentos
Bula do rapamune/sirolimo
Onde fazer o VEGF-D
Cordão para doenças raras
Carteira de emergência
Pneumologista
Recomendações da Sociedade Brasileira de Pneumologia e Tisiologia (SBPT) para a abordagem da LAM
Protocolo para abordagem da linfangioleiomiomatose
8 regras de ouro
Relatório de recomendação do uso do sirolimo em linfangioleiomiomatose – CONITEC
Teleinterconsulta médica sobre LAM para pneumologistas com médicos do HC-SP
Informações gerais e infográfico sobre diagnóstico e tratamento
Imagens tomográficas da LAM e de outras doenças císticas
Imagens associadas à LAM e à esclerose tuberosa
Atestados médicos
CID da LAM
Artigos
Requisição de sirolimo
Bula do rapamune/sirolimo
Onde fazer o VEGF-D
Direitos
Tratamento fora do domicílio
Redução da carga horária de trabalho
Aposentadoria, FGTS IR e BPC
Adicional 25%
Isenção de IPI para compra de carro novo e pagamento de IPVA
Sobre a CIF
Uso de O² a bordo de aeronaves
Pesquisar
Imagens associadas à LAM e à esclerose tuberosa
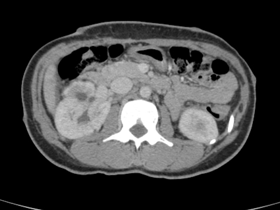
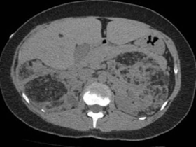
Angiomiolipoma renal à direita
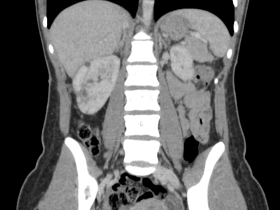
Angiomiolipoma renal bilateral
Angiomiolipomas renais
Derrame pleural leitoso (quilotórax)
Detalhe do pulmão explantado com cistos difusos
Explante de pulmão com cistos difusos
Lesões em paciente com esclerose tuberosa
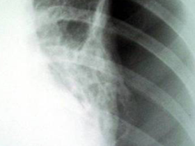
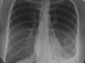
Pneumotórax à esquerda
Pneumotórax à esquerda
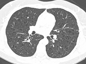
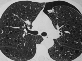
Pulmão com múltiplos cistos
Quilotórax à esquerda
Tomografia de tórax cistos difusos pelo pulmao
Tumor na pele (fibroma) próxima à unha