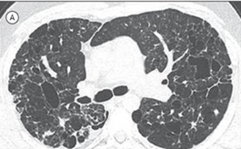
Imagens tomográficas da LAM e de outras doenças císticas

A linfangioleiomiomatose (LAM) é uma doença pulmonar cística, assim como a histiocitose de células de Langerhans, a pneumonia intersticial linfocítica e a síndrome de Birt-Hogg-Dubé

A imagem tomográfica mais frequentemente associada à linfangioleiomiomatose é a seguinte:

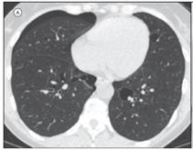
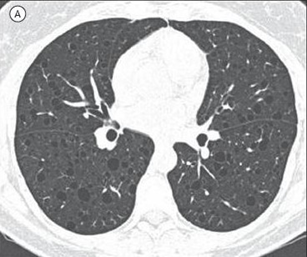
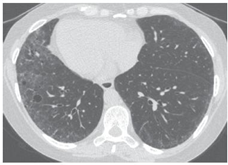
As imagens abaixo estão relacionadas a outras doenças pulmonares císticas.

Imagem 1: Pneumonia intersticial linfocítica
Imagem 2: Síndrome de Birt-Hogg-Dubé
Imagem 3: Histiocitose de células de Langerhans

Mas, lembre-se: o diagnóstico de LAM não se dá apenas por imagem!

Outros achados que podem ajudar a estabelecer um diagnóstico definitivo de LAM incluem:

. Angiomiolipomas renais

. Manifestações linfáticas, como derrame pleural quiloso ou ascite quilosa e linfangioleiomiomas

. Diagnóstico subjacente de esclerose tuberosa

Se o diagnóstico até aqui foi inconclusivo, existem mais duas possibilidades para sua confirmação:

. Exame sanguíneo VEGF-D (Fator de Crescimento Endotelial Vascular D)

. Biópsia pulmonar transbrônquica ou cirúrgica